pixel

Invisalign® in Virginia

A Clear Path to a Beautiful Smile with Invisalign®

At The Foleck Center, Virginia’s trusted Invisalign Platinum Provider, we’re proud to offer Invisalign, a discreet and comfortable orthodontic treatment ideal for those who prefer to skip the traditional metal braces. Our team of skilled dentists, led by Dr. Adam Foleck and supported by our experienced staff, works closely with you to create a personalized treatment plan using custom-fit clear aligners that gradually shift your teeth into alignment.

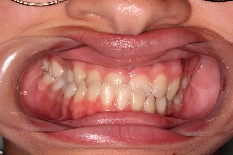
Invisalign is a fantastic solution for correcting crowding, gaps, and mild bite issues in both teens and adults. These smooth, clear trays are not only comfortable but also virtually invisible, making them the perfect choice for patients seeking a more subtle option. Our team is here to guide you through every step of your Invisalign journey, ensuring you achieve a healthy, beautiful smile with ease.

Are You a Good Candidate for Invisalign Clear Braces?

To achieve the best results with Invisalign, it’s essential that aligners are worn for at least 22 hours each day. This means you’ll need to stay dedicated to your treatment by replacing the aligners after meals, brushing, and flossing. That’s why Invisalign is typically a great option for older children, teens, and adults who are ready to commit to the process and follow the necessary steps for success.

Our team at The Foleck Center, including Dr. Adam Foleck and our experienced dental professionals, will guide you through each phase of your treatment.

As an Invisalign Platinum Partner with extensive clear aligner experience, our team has the advanced expertise to evaluate your unique case and determine if Invisalign is the ideal orthodontic solution for achieving your smile goals.

Regular visits are key, as we’ll need to create new aligners as your smile transforms. We’re here to ensure your experience is smooth, effective, and comfortable as we work together toward your beautiful, confident smile!

What to Expect During Your Invisalign Treatment Process

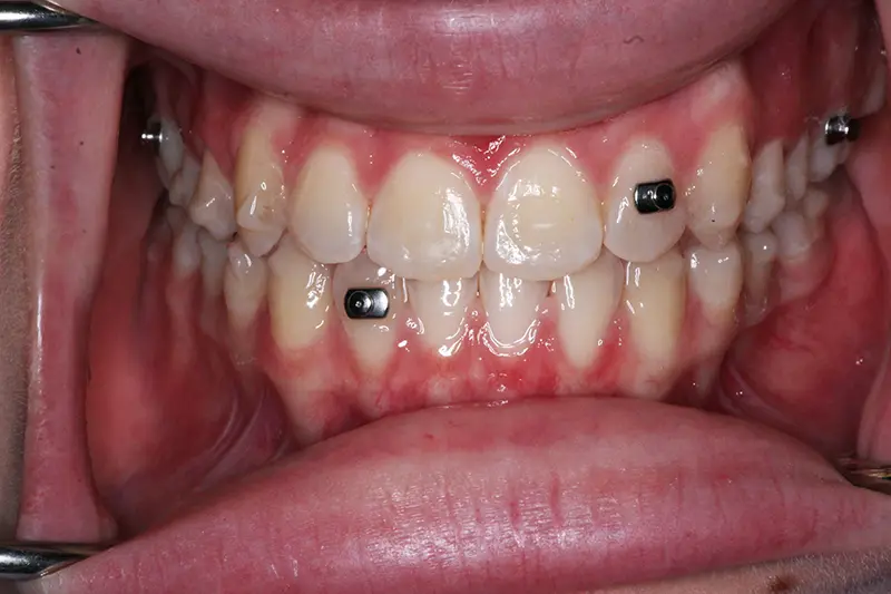
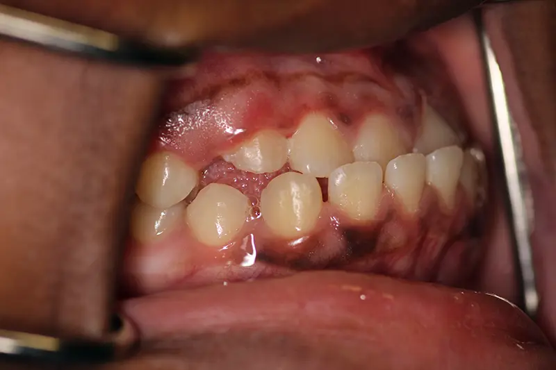
Your Invisalign journey begins with a consultation, digital scan, and x-rays to assess your smile. Our experienced dental team will assess your bite, review your goals, and create a custom treatment plan using state-of-the-art 3D imaging. Based on this information, we’ll create a personalized orthodontic treatment plan tailored just for you. Our status as an Invisalign Platinum Provider means you benefit from our team’s proven track record of successful cases and access to the most advanced treatment planning technology available. Your first set of clear aligners will be custom-made in-house, ensuring a perfect fit. 

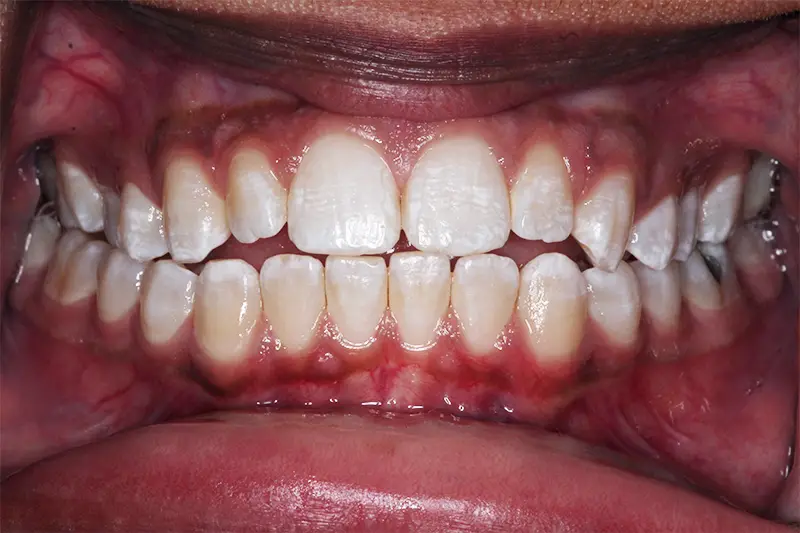
To achieve the best results, the aligners must be worn for 22 hours a day, only being removed for eating, brushing, or flossing. As your teeth gradually shift, you’ll return every few weeks to receive new sets of aligners. Most patients will go through several sets during their treatment, watching their smile transform along the way. Once finished, you’ll be left with a straight, healthy smile that lasts.

Get Expert Invisalign Treatment from Virginia’s Platinum Provider

Get Expert Invisalign Treatment from Hampton Roads’ Platinum Provider

When you choose The Foleck Center for your Invisalign® treatment, you’re choosing a caring team recognized for excellence and proven expertise. Selecting an Invisalign provider in Norfolk, Virginia Beach, or Hampton is an important decision, and the provider’s experience level makes a significant difference in your treatment outcome and final results.

Why The Foleck Center’s Invisalign Platinum Provider Status Matters

The Foleck Center has earned the prestigious designation of Invisalign Platinum Provider—a distinction that sets us apart as one of the most experienced and trusted clear aligner practices in Virginia. This elite recognition is awarded exclusively by Align Technology to dental practices that demonstrate exceptional expertise and a proven track record of successful clear aligner cases.

As an Invisalign Platinum Provider, The Foleck Center has achieved one of the highest distinctions in clear aligner therapy. This recognition means our dentists and orthodontists have successfully completed a substantial number of Invisalign cases annually, demonstrating advanced skill in treating diverse orthodontic conditions from simple spacing issues to complex bite corrections. Patients can feel confident knowing their care is guided by providers who have an established track record of success and the trust of countless Hampton Roads families.

What makes our Platinum Provider status meaningful for your smile journey:

Advanced Case Volume and Proven Expertise: Our high volume of successfully completed Invisalign cases reflects years of hands-on experience treating teens and adults with varying degrees of orthodontic complexity. This extensive case history means we can accurately predict treatment timelines, anticipate challenges, and deliver the efficient, effective care you deserve with beautiful, lasting results.

Specialized Training in Latest Techniques: Being a Platinum Provider signifies that our team has undergone extensive continuing education in the latest Invisalign techniques, digital treatment planning, and advanced clear aligner protocols. We stay at the forefront of dental innovation, ensuring each patient benefits from the most precise and effective treatment planning available in modern orthodontics.

Access to Cutting-Edge Technology: As an Invisalign Platinum Partner, The Foleck Center has priority access to the newest Invisalign innovations, proprietary software, and cutting-edge digital scanning technology. Our advanced digital imaging and treatment simulation technology allows you to visualize your final results before treatment begins, ensuring your expectations align with achievable outcomes.

Comprehensive Treatment Planning and Refinement: Our Platinum Provider expertise translates to more accurate treatment planning, shorter treatment times, and superior results. As a high-volume provider, we’ve mastered the refinement process, ensuring your treatment stays on track and delivers the precise results you’re looking for across every stage of your smile transformation.

Compassionate Invisalign Care from Experienced Professionals

Beyond technology and credentials, The Foleck Center is known for its compassionate, patient-centered approach. We understand that every smile journey is personal, and our team takes the time to listen, educate, and support you every step of the way.

When you choose our Platinum Provider team, you receive:

Personalized treatment plans designed by experienced clear aligner specialists who understand your unique goals and concerns

State-of-the-art 3D treatment visualization showing your smile transformation before you even begin

Streamlined appointments that respect your busy schedule, our Norfolk, Hampton, and Virginia Beach patients appreciate our efficiency

Ongoing monitoring, adjustments, and refinement ensuring optimal results throughout your entire journey

Gentle, respectful care focused on your comfort and confidence from your first consultation to your final reveal

At The Foleck Center, your smile isn’t just our priority, it’s our passion. Our combination of Platinum Provider expertise and genuine compassion creates an unmatched treatment experience. Whether you’re a teen seeking a confidence boost or an adult finally achieving the smile you’ve always wanted, our experienced team is here to guide you through every phase with care, precision, and dedication.

When you choose an Invisalign Platinum Provider like The Foleck Center, you’re choosing proven expertise, advanced technology, and a commitment to excellence that has earned the trust of Hampton Roads residents for years. Let us show you the difference that Platinum-level care makes in your smile transformation.

Frequently Asked Questions

Treatment time varies depending on your specific case, but most patients see results in 6–18 months. Consistently wearing your aligners for 20–22 hours a day helps keep your treatment on track.

You’ll typically switch to a new set of aligners every one to two weeks, depending on your treatment plan. Each new set brings you one step closer to your perfect smile.

You’ll remove your aligners when eating or drinking anything other than water. This means you can enjoy all your favorite foods without the restrictions that come with traditional braces.

Yes. Wearing a retainer after Invisalign® is essential to keep your teeth in their new position. Your dentist will create a customized retainer and guide you on how often to wear it to protect your results.

The cost depends on the complexity of your case and treatment length. During your consultation, we’ll provide a personalized estimate and review payment plan options to make treatment affordable.

Explore our financing options and important information about insurance.

Many dental insurance plans offer coverage for Invisalign® just like they would for traditional braces. Our team can review your plan and help maximize any benefits to make treatment more affordable.

The Foleck Center has earned Invisalign Platinum Provider status through our extensive experience successfully treating a high volume of clear aligner cases each year. This prestigious designation from Align Technology recognizes our team’s advanced training, proven treatment outcomes, and commitment to staying at the forefront of orthodontic innovation. As a Platinum Provider in Hampton Roads, we offer patients the confidence that comes with choosing one of Virginia’s most experienced and trusted Invisalign practices.

Interested in Achieving a Straighter Smile with Invisalign®?

Call The Foleck Center, your trusted Invisalign Platinum Provider, today at 757-979-6012 to schedule your clear aligner consultation with our expert team!

Visit us in Norfolk, Hampton, or Virginia Beach to explore if Invisalign is the right teeth-straightening solution for your smile.

Whether you’re new to clear aligners or continuing your Invisalign journey, we’re here to provide expert guidance and a comfortable, precise treatment experience from start to finish.

Explore Other Orthodontic Solutions

FASTBRACES®

FASTBRACES® look like traditional braces but work much faster, with some cases seeing results in as little as 60-90 days. This technology allows for the correction of overbites, crossbites, crowding, spacing, and more in adults, teens, and children by focusing on and treating alveolar bone defects.
Schedule An Appointment

Traditional Braces

Traditional metal braces have come a long way—today’s versions are sleeker, smaller, and far more comfortable thanks to advanced materials and design innovations. With enhancements like tooth-colored ceramic brackets, and digitally customized wires, these reliable braces continue to deliver effective, high-performance results.
Schedule an Appointment